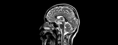
10 фактов о МРТ Без рубрики Один из главных инструментов в нейронауках — магнитно-резонансный томограф. Мы предлагаем подборку из десяти интересных или Окт 10 0 от Юлия Кудерова
Ия Першина: «Мы не должны надолго вытаскивать себя из зоны комфорта и становиться рабами целей и задач» Без рубрики Ию могло ждать блестящее будущее в спорте высоких достижений, но после аварии и полученных впоследствие травм Окт 10 0 от Максим Кудеров
Как это было Без рубрики «Жить стало лучше, жить стало веселей» — говорили даже в самые жуткие времена. И это правда, жизнь Окт 7 0 от Максим Кудеров
Курс на смерть: исследование смертности бодибилдеров Без рубрики Недавняя смерть бодибилдера Алексея Имерякова (который был также врачом-эндокринологом) вскоре после «Арнольд Классик Европа» в Барселоне стала Окт 6 0 от Максим Кудеров
Другая мука: кокосовая, гречневая, рисовая, ореховая, нутовая, тапиока Без рубрики Продающаяся в магазине пшеничная мука широко и по полной используется на большинстве российских кухонь. Однако есть и Окт 6 0 от Максим Кудеров