Рост населения: от 10 000 лет до н.э. до 2100 года ООН подсчитало, что на Земле сейчас живет более 7 млрд людей, хотя еще 200 лет назад Без рубрики Окт 12 0
Что делать если болит спина Диагнозы «остеохондроз» и «межпозвонковая грыжа» ставят практически всем, кто обратился к врачам с болью в спине. Без рубрики Окт 11 0
Три видеорецепта необычных блюд из курицы. КБЖУ посчитан. Кок-а-лики Традиционная шотландская праздничная похлебка, праздничность которой не в парадном наборе ингредиентов, не в особой подаче, Без рубрики Окт 11 0
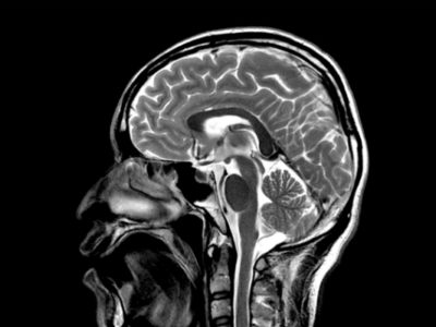
10 фактов о МРТ Один из главных инструментов в нейронауках — магнитно-резонансный томограф. Мы предлагаем подборку из десяти интересных или Без рубрики Окт 10 0
Ия Першина: «Мы не должны надолго вытаскивать себя из зоны комфорта и становиться рабами целей и задач» Ию могло ждать блестящее будущее в спорте высоких достижений, но после аварии и полученных впоследствие травм Без рубрики Окт 10 0